「歯を抜かないと治らない」
私たちは、そうは考えません。
1,100名中、親知らず以外の抜歯はわずか5名。
諦める前に、セカンドオピニオンをお聞きください。
こんなお悩み、ありませんか?
「他院で抜歯が必要と言われて…諦めていませんか?」
その悩み、スマイルライン歯科なら解決できます
当院では、マウスピース矯正のみで1,100名すべての患者様を治療。
ワイヤー矯正を使用した方はゼロです。
ほぼすべてのケースを、歯を抜かずに対応しています。
当院が選ばれる7つの理由
長崎県内最多級1,100症例
2020年〜2025年で1,100名以上のインビザライン矯正治療実績。経験豊富だからこそ、難症例にも対応可能です。
抜歯率わずか0.45%
1,100名中、親知らず以外の抜歯はたった5名。ほぼすべてのケースを非抜歯で治療しています。
ダイヤモンドドクター5年連続受賞
インビザライン通算症例数1,000例達成。九州でわずか6名のみの称号です。現在は1,100例を突破し、さらに経験を積み重ねています。
総合歯科だから安心
矯正中に虫歯や歯周病が見つかっても、院内で即対応。他院に転院する必要がありません。
明朗会計・追加費用なし
調整料・管理料すべて込みで88万円(税込)。追加費用は一切かかりません。
最新設備iTero Lumina(3台目)導入
口腔内3Dスキャナー最新モデル「iTero Lumina」を導入。その場で治療シミュレーション動画が見られます。
平日・土曜19時まで診療
仕事帰りでも通いやすい診療時間。佐世保駅から車で10分、駐車場19台完備。
なぜ当院は、歯を抜かずに済むのか?
3つの理由があります
理由① 診断力の違い
「顎が小さい」という診断は要注意。実際は歯列が狭くなっているだけのケースが大半です。
当院では精密検査(最新iTero Lumina・セファロ分析)で本当の原因を見極めます。
理由② インビザライン1,100症例突破の経験
同じ装置でも、医師の技術と経験で結果は変わります。
当院の理事長はインビザラインダイヤモンドドクター5年連続受賞。インビザライン通算症例数1,000例達成の証であり、九州でわずか6名のみの称号です。現在は1,100例を突破。難症例にも対応可能です。
理由③ 総合歯科の強み
歯周病専門医・インプラント専門医として歯を守る医療を実践してきた理事長。
「1本の歯の大切さ」を誰よりも理解しているからこそ、非抜歯にこだわります。
矯正治療の選び方を、比較してみてください
同じ「矯正」でも、方法によって結果が大きく変わります
| 比較項目 |
★ 当院の治療 非抜歯マウスピース矯正 |
他院の 抜歯ワイヤー矯正 |
他院の マウスピース矯正 |
|---|---|---|---|
| 抜歯の 必要性 |
◎
ほぼ不要 1,100名中わずか5名 (抜歯率0.45%) |
×
4本抜歯が多い 小臼歯の抜歯を 前提とするケースが多い |
△
医院による 経験の差が 大きく出る領域 |
| 歯の寿命 への影響 |
◎
歯を守る 健康な歯を1本も 失わない治療設計 |
×
リスクあり 抜歯により残存歯への 負担が増加する可能性 |
△
医院による 非抜歯に対応できるか は経験次第 |
| 後戻り リスク |
◎
低リスク 抜歯スペースがないため 後戻りしにくい |
×
注意が必要 抜歯後の隙間に 歯が戻りやすい |
○
保定次第 リテーナー装着の 継続が重要 |
| 治療中の 見た目 |
◎
ほぼ見えない 透明マウスピースで 周囲に気づかれにくい |
×
目立つ 金属ブラケット・ ワイヤーが見える |
◎
ほぼ見えない 同じく透明 マウスピース使用 |
| 痛み・ 違和感 |
◎
少ない 段階的に歯を動かすため 痛みを抑えやすい |
×
痛みが出やすい ワイヤー調整後に 強い痛みが出ることも |
◎
少ない マウスピース矯正 共通のメリット |
| 横顔 (Eライン) |
◎
自然な横顔 歯を残すことで 自然なEラインを維持 |
×
老け顔リスク 口元が引っ込みすぎて 不自然になる場合あり |
△
治療方針次第 抜歯の有無で 結果が大きく変わる |
| 費用 (税込) |
◎
88万円 調整料・管理料込み 追加費用なし |
△
80〜120万円 調整料が別途 かかる場合が多い |
△
30〜100万円 安価なプランは 対応範囲が限定的 |
| 担当医の 実績 |
◎
1,100症例突破 ダイヤモンドドクター 5年連続・九州6名のみ |
△
医院による 矯正専門医の有無を 確認する必要あり |
△
医院による インビザライン 認定ランクを要確認 |
※ 上記は一般的な傾向であり、実際の治療内容は患者様の症状により異なります。
※ 他院の費用・治療方針は医院により大きく異なるため、あくまで参考情報です。
「歯を抜く」か「抜かない」か。
その選択が、あなたの歯の寿命を左右します。
比較した上で、納得のいく選択をしてください。
当院では、セカンドオピニオンとしてのご相談も歓迎しています。
明朗会計。追加費用は一切ありません
初回相談・検査・診断費用 すべて無料
調整料・管理料・リテーナー費用もすべて治療費に含まれています
お試しプラン
スタースマイルミニ
犬歯・小臼歯・大臼歯は動かしません
月々 3,600円〜
スタースマイルライト
小臼歯・大臼歯は動かしません
月々 6,000円〜
スタースマイルフル
精密検査・調整料・リテーナー費用すべて込み
月々 9,600円〜
スタースマイルアドバンス
他院で断られた難しいケースにも対応
⚖️ 他院では「調整料」が別途かかるケースが一般的です
フルプラン(88万円)での比較
| 項目 | ★ 当院 | 他院の一般的な例 |
|---|---|---|
| 基本治療費 | 88万円 | 70〜90万円 |
| 調整料(通院毎) | 0円(込み) | 3,000〜5,000円/回 × 約24回 = 約7〜12万円 |
| リテーナー代 | 0円(込み) | 2〜5万円 別途 |
| 精密検査・診断料 | 0円(込み) | 3〜5万円 別途 |
| 実質総額 | 88万円 | 82〜112万円 |
※ 他院の費用は一般的な傾向であり、医院により大きく異なります
🏥 医療費控除で、さらにお得に
矯正治療費は医療費控除の対象です。
確定申告で税金の一部が還付されます。
| 年収の目安 | 還付金の目安 | 実質負担額 |
|---|---|---|
| 300万円 | 約 15.6万円 | 約 72.4万円 |
| 500万円 | 約 23.4万円 | 約 64.6万円 |
| 700万円 | 約 25.7万円 | 約 62.3万円 |
※ 治療費88万円、医療費控除対象額78万円(88万円−10万円)で試算
※ 所得税率+住民税率(10%)で計算した概算です。実際の還付額は個人の状況により異なります
※ デンタルローン利用額も医療費控除の対象となります
💳 お支払い方法
📋 デンタルローンの特徴
✅ 審査は最短5分で完了
✅ ローン利用額も医療費控除の対象
非抜歯矯正で、横顔も自然に美しく
抜歯の有無が、あなたの「Eライン」を左右します
Eライン(エステティックライン)とは?
鼻先と顎の先端を結んだ線を「Eライン」と呼びます。
唇がこのライン上、またはやや内側にあるのが理想的な横顔のバランスとされています。
治療前
出っ歯・口ゴボ
唇がEラインより
前に出ている状態
抜歯矯正後
口元が凹みすぎ
唇がEラインより
大きく内側に入り
老けた印象になることも
★ 非抜歯矯正後
自然で美しい横顔
唇がEライン上で
自然なバランスを維持
なぜ「抜歯矯正」で横顔が崩れるのか?
⚠️ 抜歯矯正の場合
小臼歯を4本抜くと、歯を後ろに大きく引っ込めるスペースができます。その結果、口元が必要以上に引っ込み、頬がこけて見えたり、ほうれい線が目立ったりすることがあります。
▸ 口元が貧相に見える
▸ 実年齢より老けた印象
▸ 笑った時に歯が見えにくい
▸ 一度抜いた歯は戻せない
✅ 当院の非抜歯矯正の場合
歯列を適切に拡大しながら歯を整えるため、口元の自然なボリュームを維持したまま歯並びを改善できます。横顔のバランスを崩さず、若々しい印象を保てます。
▸ 自然なEラインを維持
▸ 若々しい口元をキープ
▸ 笑顔で歯がきれいに見える
▸ 呼吸・嚥下機能への影響も少ない
理事長 大串 博
矯正治療は「歯並びを整える」だけではありません。呼吸、嚥下、発音、そして横顔のバランスまで考慮する必要があります。安易に歯を抜くと、口元の支えが失われ、将来的に横顔が老けて見えるリスクがあります。私が非抜歯にこだわるのは、歯の寿命だけでなく、患者様の「顔貌」を守るためでもあるのです。
「歯を抜かない矯正」で、歯並びも横顔も美しく。
📞 無料相談を予約する「抜歯矯正」を決める前に、知っておいてほしいこと
- ⚠️ 残った歯を早く失う可能性
- ⚠️ 睡眠時無呼吸症候群のリスク増加
- ⚠️ 後戻りのリスク
- ⚠️ 口元が下がりすぎる(老け顔に見える)
- ⚠️ 噛み合わせの不調
健康な歯は、一度抜いたら二度と戻りません。
抜歯を決断する前に、必ずセカンドオピニオンを。
当院では、他院で「抜歯が必要」と言われた方の90%以上を非抜歯で治療しています。
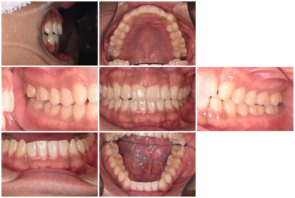
「抜歯が必要」と言われた方の治療例
すべて非抜歯で治療しました
出っ歯・ガタガタ(叢生)
他院で「4本抜歯が必要」と診断。
当院では非抜歯で治療。
期間:1年半 / 費用:88万円(税込)
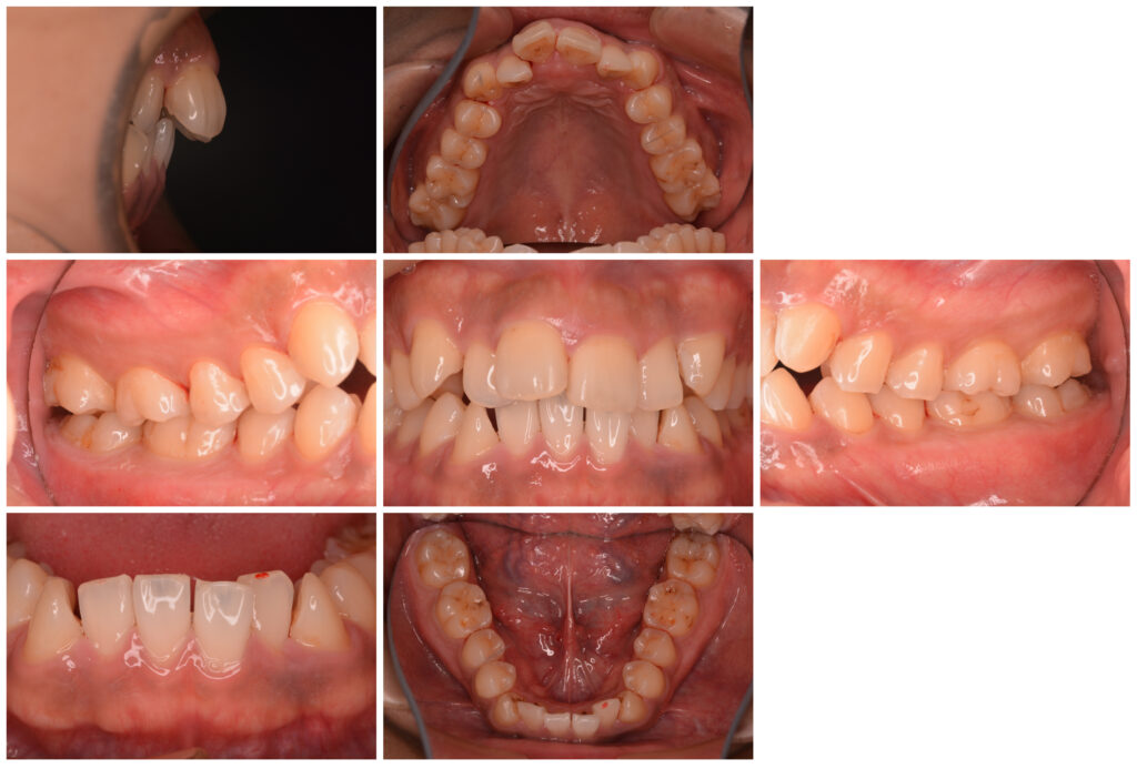
出っ歯・ガタガタ(叢生)
他院で「抜歯しないと出っ歯は治らない」と説明。
当院では非抜歯で治療。
期間:1年3ヶ月 / 費用:88万円(税込)
口ゴボ・ガタガタ
他院で「顎が小さいので4本抜歯」と診断。
当院では非抜歯で治療。
期間:2年 / 費用:88万円(税込)
前歯の叢生(中等度)
前歯のガタつきが気になり来院。
スタースマイルライトで非抜歯治療。
期間:10ヶ月 / 費用:55万円(税込)
副作用・リスク:装置装着時や調整後の痛み・違和感、歯みがきがしにくくなることによるむし歯・歯周病リスクの増加、歯の移動に伴う歯根吸収や歯ぐきの退縮、治療期間の延長、後戻りを防ぐための保定装置着用の必要性、まれに顎関節症状やアレルギー症状が出る場合があります。
患者様の声:「抜かずに治せて、本当に良かった」
他院で「抜歯が必要」と言われた方々の声
30代女性・会社員
出っ歯・ガタガタ
「かかりつけの医院で紹介された矯正歯科では『4本抜歯が必要』と言われ、どうしても納得できませんでした。
こちらで『抜かずに治せる』と聞いた時は、本当にほっとしました。最後まで諦めずに歯科医院を探して良かったです。」
20代女性・学生
口ゴボ
「『顎が小さいから抜歯しないと治らない』と3つの医院で言われました。
こちらで精密検査をしたら『顎は小さくない、歯列が狭いだけ』と説明していただき、抜かずに治療できました。諦めなくて本当に良かったです。」
40代女性・主婦
出っ歯(矯正失敗経験)
「20代の時にワイヤー矯正で歯を抜いて治療しましたが、後戻りしてしまい…。
今回は抜かずにマウスピースで治療。先生の『歯は一度抜いたら戻らない』という言葉が身にしみました。」
理事長からのメッセージ
「歯を抜かない矯正」にこだわる理由
私は歯周病専門医・インプラント専門医として、沢山の手術を手がけてきました。
歯を失った患者様の後悔の言葉を、何度も聞いてきました。
だからこそ、「1本の歯の大切さ」を誰よりも理解しています。
健康な歯を抜くことは、最後の手段であるべきです。
安易に「抜歯が必要」と言われても、諦めないでください。
当院では、1,100症例の経験と技術で、ほぼすべてのケースを非抜歯で対応してきました。
美容矯正とは明らかに違う、医療としての矯正があります。
呼吸、摂食嚥下、発音、そして何より歯の寿命を考えた矯正治療を提供します。
スマイルライン歯科・矯正歯科 佐世保
理事長 大串 博
【保有資格・実績】
- インビザラインダイヤモンドドクター(5年連続受賞)
※ インビザライン通算症例数1,000例達成、九州でわずか6名のみ
※ 現在1,100例突破、症例数増加中 - 日本歯周病学会 専門医
- 日本口腔インプラント学会 専門医
- 日本臨床歯周病学会 歯周病指導医・認定医
- 日本臨床歯周病学会 歯周インプラント指導医
- 日本顎咬合学会 認定医
- 日本アンチエイジング歯科学会 認定医
- 日本審美歯科学会 会員
【表彰・認定証】
5年連続ダイヤモンドドクター
症例数1,000例以上達成
※ クリックで拡大表示できます
治療の流れ
初回相談から治療完了まで、安心のサポート
無料相談(30分)
お悩みをお聞きし、マウスピース矯正について詳しくご説明します。費用や期間の目安もお伝えします。
精密検査・診断(60分)
最新iTero Luminaで口腔内3Dスキャン、レントゲン・セファロ撮影を実施。その場で治療シミュレーション動画をご覧いただけます。
治療計画説明・契約
詳細な治療計画、期間、費用をご説明。ご納得いただけましたら、治療開始です。
マウスピース装着開始
マウスピースの装着方法、お手入れ方法を丁寧にご説明。1〜2週間ごとに新しいマウスピースに交換していきます。
定期チェック(1〜2ヶ月ごと)
治療の進行状況を確認。必要に応じて調整を行います。虫歯や歯周病のチェックも同時に実施。
治療完了・保定期間
理想の歯並びに到達したら、保定装置(リテーナー)で後戻りを防ぎます。定期的なメンテナンスで美しい歯並びを維持します。
まずは無料相談から始めませんか?
📞 今すぐ無料相談を予約する矯正だけじゃない、トータルケア
総合歯科だからできる、矯正プラスαのご提案
お子様の矯正もお任せください
お子様の歯並びが気になる親御様へ。
小児矯正は早期開始が鍵です。
顎の成長を利用して、将来の抜歯リスクを減らせます。
✓ 1期治療(6〜10歳)対応
✓ マウスピース型で目立たない
✓ 親子で同時通院も可能
矯正+ホワイトニングで最高の笑顔に
せっかく歯並びがキレイになるなら、
白さもプラスしませんか?
矯正終了後のホワイトニングが人気です。
✓ 矯正患者様限定の特別プランあり
✓ オフィス+ホームの併用で効果持続
✓ 矯正完了と同時にスタート可能
福岡にお住まいの方へ
博道会グループは福岡に6院展開。
同じ治療方針・同じクオリティで
お近くの医院をお選びいただけます。
📍 アイランドシティ院・香椎照葉院
📍 博多院・六本松院
📍 マークイズ院・天神院
よくあるご質問
Q. 本当に歯を抜かずに矯正できますか?
+はい、当院では1,100名中、親知らず以外の抜歯が必要だったのはわずか5名(0.45%)です。
他院で「抜歯が必要」と診断された方でも、精密検査の結果、非抜歯で治療できるケースが大半です。まずは無料相談でご自身の状況をお聞かせください。
Q. 費用はいくらですか?追加費用はかかりますか?
+初回相談・検査・診断費用はすべて無料です。治療費は症状に応じて5つのプランをご用意しています。
料金プラン一覧(税込・すべて込み)
お試しプラン:19,800円
スタースマイルミニ(軽度):33万円(月々3,600円〜)
スタースマイルライト(中等度):55万円(月々6,000円〜)
スタースマイルフル(全体):88万円(月々9,600円〜)
スタースマイルアドバンス(難症例):92万円
精密検査・診断料・調整料・管理料・リテーナー費用もすべて治療費に含まれています。追加費用は一切かかりません。
一般的な矯正歯科では、基本治療費のほかに調整料(3,000〜5,000円/回 × 約24回 = 約7〜12万円)やリテーナー代(2〜5万円)、精密検査料(3〜5万円)が別途かかるケースが多く、実質総額は82〜112万円になることもあります。
Q. 支払い方法は?分割払いはできますか?
+以下のお支払い方法に対応しております。
現金(一括払い) / クレジットカード(各種対応) / デンタルローン(分割払い)
デンタルローンはWEB申込みで印鑑・収入証明・身分証明は不要、審査は最短5分で完了します。
月々のお支払い目安
ミニ(33万円)→ 月々 3,600円〜
ライト(55万円)→ 月々 6,000円〜
フル(88万円)→ 月々 9,600円〜
※ デンタルローン利用額も医療費控除の対象です。
Q. 矯正治療に医療費控除は使えますか?
+はい、矯正治療費は医療費控除の対象です。
確定申告を行うことで、所得税・住民税の一部が還付されます。デンタルローンをご利用の場合も、ローン契約を結んだ年の治療費全額が控除対象となります。
還付金の目安(フルプラン88万円の場合)
年収300万円 → 還付 約15.6万円(実質負担 約72.4万円)
年収500万円 → 還付 約23.4万円(実質負担 約64.6万円)
年収700万円 → 還付 約25.7万円(実質負担 約62.3万円)
※ 医療費控除対象額=88万円−10万円=78万円で試算(所得税率+住民税率10%で計算)
※ 実際の還付額は個人の所得状況により異なります。詳しくは税務署または税理士にご確認ください。
Q. 治療期間はどのくらいですか?
+症状により異なりますが、目安は以下の通りです。
軽度の症例:6ヶ月〜1年
中程度の症例:1年〜1年半
重度の症例:1年半〜2年半
初回の精密検査で、より正確な期間をお伝えします。
Q. 矯正は痛いですか?
+マウスピース矯正は、ワイヤー矯正と比べて痛みが少ないのが特徴です。
新しいマウスピースに交換した際に2〜3日程度の違和感を覚える方が多いですが、通常の生活に支障が出るほどの痛みではありません。当院では段階的に歯を動かす治療計画を立てるため、痛みを最小限に抑えることができます。
Q. 食事や歯磨きはどうすればいいですか?
+食事の時はマウスピースを外せます。ワイヤー矯正のような食事制限はありません。
歯磨きも普段通り行えます。マウスピースは取り外して洗浄できるため、口腔内を清潔に保ちやすいのもメリットです。装着時間は1日20時間以上が目安です。
Q. 他院で「抜歯が必要」と言われましたが、セカンドオピニオンは受けられますか?
+もちろんです。セカンドオピニオンは大歓迎です。
他院の診断結果や資料があればお持ちください。当院で改めて精密検査を行い、非抜歯で治療できるかどうかを正直にお伝えします。
無理に治療をお勧めすることは一切ありませんので、安心してご相談ください。
Q. ダイヤモンドドクターとは何ですか?
+インビザライン社が認定する最高ランクのドクター称号です。
年間の症例数が一定以上の実績を持つドクターに授与されます。当院の理事長は5年連続でこの称号を受けており、さらにインビザライン通算症例数1,000例以上を達成(九州でわずか6名のみ)。現在は1,100例を突破し、さらに経験を積み重ねています。
「歯を抜かない矯正」で、
歯並びも横顔も美しく。
矯正治療は、早く始めるほど選択肢が広がります。
「いつか治したい」その「いつか」は今かもしれません。
🎁 初回限定・無料相談の内容
- ✅ 最新iTero Luminaで口腔内3Dスキャン
- ✅ AIによる矯正シミュレーション動画
- ✅ 非抜歯で治療できるか診断
- ✅ 費用・期間のお見積もり
- ✅ セカンドオピニオン対応
すべて無料。無理な勧誘は一切いたしません。
※ 精密検査として後日レントゲン撮影が必要になる場合がありますが、費用はかかりません。
今月の無料相談枠
残り 5 枠
※ 毎月先着順で受付。お早めにご予約ください。
受付時間:月〜土 9:00〜19:00(日祝休診)
矯正治療のリスク・副作用について
マウスピース矯正(インビザライン)は医療行為であり、以下のリスク・副作用があります:
・装置装着時や交換時の痛み、違和感、圧迫感(通常2〜3日で軽減)
・装着時間不足による治療計画の遅延(1日20〜22時間の装着が必要)
・虫歯・歯周病リスク(装置を外して歯磨きすることで予防可能)
・歯の移動に伴う歯根吸収(まれ)
・歯ぐきの退縮(歯の移動量が大きい場合)
・顎関節への影響(まれに顎関節症状が出る場合あり)
・治療期間の延長(症状の複雑さや装着状況による)
・保定装置(リテーナー)を使用しない場合の後戻り
・アレルギー反応(まれにマウスピース素材に対するアレルギー)
※ 矯正治療の効果には個人差があります。すべての方に同じ結果を保証するものではありません。
※ 治療を開始する前に、必ずリスク・副作用について担当医から説明を受けてください。
※ インビザラインは薬機法上の医療機器に該当しない矯正装置です。米国アライン・テクノロジー社で製造され、世界100か国以上で使用されています。
※ 費用は症例の難易度により異なります。詳しくは無料相談時にお見積もりいたします。