子どもから大人まで
歯をできるだけ抜かない「筋機能マウスピース矯正」
「歯ならびだけキレイになればいい」と思っていませんか?
実は、歯だけを動かす矯正をしてしまうと、
- 食べるのがさらに遅くなる
- 発音がはっきりしない
- 姿勢が悪くなる(猫背・フラフラ歩き)
など、いろいろなトラブルにつながることがあります。
お口の中は、
「歯」+「あご」+「舌」+「ほっぺやくちびるの筋肉」+「呼吸」
がバランスよく働いて、はじめて上手に
- かむ(咀嚼)
- 飲み込む(嚥下)
- 話す(発音)
ことができます。
どうして「筋機能矯正」が大事なの?
① 口呼吸と低い舌の位置(低位舌)
お口がいつもポカンと開いている「口呼吸」の子は、
舌の位置が下がる 「低位舌」 になりやすくなります。
- 猫背になりやすい
- 仰向けに寝ると息苦しくて、横向き・うつ伏せで寝がち
- いびきをかきやすい
- 進むと「子どもの睡眠時無呼吸」の原因になることも
こういった子は、歯ならびだけ直しても、また歯が動いて元に戻りやすくなります。
② 食べるのが遅い・飲み込みが下手
舌の使い方が悪かったり、舌で前歯を押す「舌癖」があると、
- 給食を食べ終わるのがいつも一番遅い
- よく噛めずに、丸のみしがち
- 飲み込むのに時間がかかる
などの「摂食・嚥下(飲み込み)の障害」につながります。
このクセが大人になるまで続くと、将来の誤嚥性肺炎のリスクの一つにもなり得ます。
③ 発音がはっきりしない
歯ならびと舌の位置が悪いと、
- サ行(さ・し・す・せ・そ)
- ラ行(ら・り・る・れ・ろ)
が言いにくく、ことばがはっきり聞こえないことがあります。

当院のマウスピース矯正の特徴

当院では、インビザラインやスマーティーといったマウスピース矯正と、
**筋機能訓練(MFT)**を組み合わせて治療を行います。
ポイントはここです👇
- できるだけ歯を抜かない方針
- 歯ならびだけでなく「呼吸・舌のクセ・飲み込み・姿勢」までチェック
- 口呼吸から鼻呼吸へ
- 舌癖・食べ方・飲み込み方のトレーニング
- 口の周りの筋肉を正しく使う練習
ただ歯を動かすだけの「美容矯正」とは違い、
全身と口の機能のバランスを整える矯正です。
子どものうちに始めるメリット
成長期のお子さんは、あごやお顔がまだ成長途中です。
- あごの成長を利用できる
- 歯を抜かずにすむ可能性が高くなる
- 正しい呼吸・舌の位置・姿勢を早くから身につけやすい
などのメリットがあるため、できるだけ早い時期からのスタートをおすすめしています。
大人にも同じことが言えます
「これは子どもだけの話でしょ?」と思われるかもしれませんが、
実は大人でも理屈はまったく同じです。

- 子どものころから食べるのが遅かった
- しっかり噛まずに飲み込むクセがある
- 食いしばりがひどい
- あごがずれている感じがする
- あごの関節で音が鳴る
こういった症状は、歯ならびだけを動かす美容矯正歯科では対応しきれないことが多く、
筋肉・関節・かみ合わせ・呼吸まで総合的に診る必要があります。

まずは「今の状態」を知るところから
- うちの子、いつも口が開いている
- 給食を食べるのがすごく遅い
- いびきが気になる
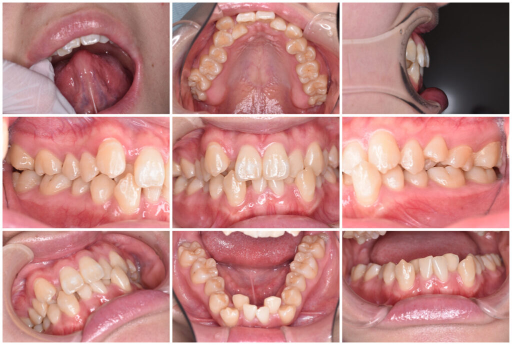
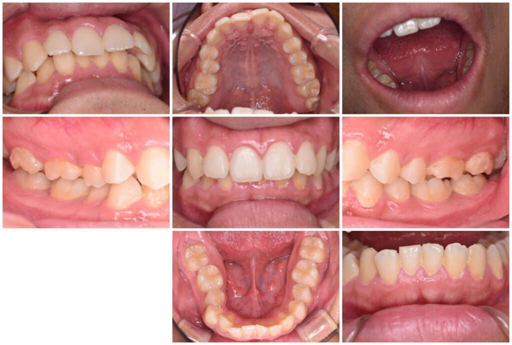
- 歯ならびが凸凹してきた
こんなことが少しでも気になったら、
「歯ならびだけを見る矯正」ではなく、「噛み合わせを通して、全身と口の機能から考える矯正」が合っている可能性があります。
当院では、
お子さんも大人の方も 無料検診 を行っています。
「うちの場合はどうなのか?」を一度しっかりチェックして、
お子さん・ご家族にとって一番良い治療方法を一緒に考えていきましょう。